Dental Implants: Implants with Full Mouth Reconstruction
Description
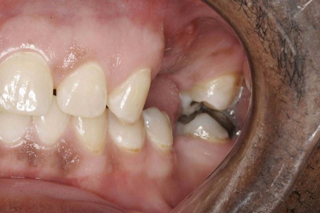
This patient was uncomfortable with his smile and the condition of his teeth. He had many cavities and had lost some teeth. He was very uncomfortable in the dental office and had let his mouth deteriorate. He wanted a healthy mouth and a nicer smile. IV sedation was utilized to make his appointments totally comfortable. Using dental implants to replace his missing or hopeless teeth and porcelain crowns and veneers, his mouth was transformed. The result was a healthy and fantastic new smile.




