Dental Implants: Upper Front Teeth Implants and Full Mouth Reconstruction
Description
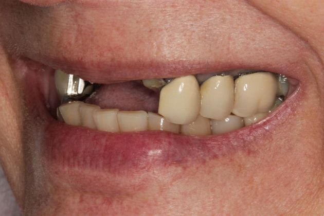
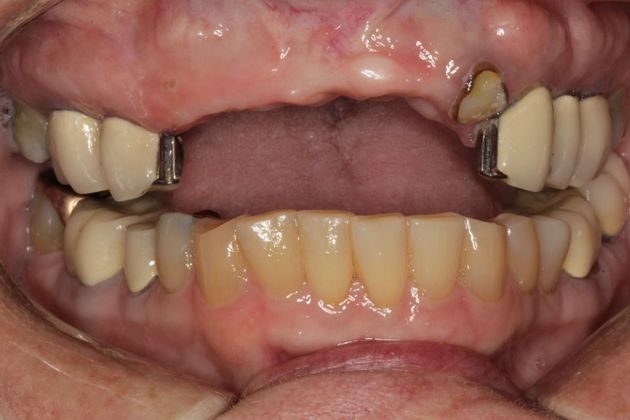
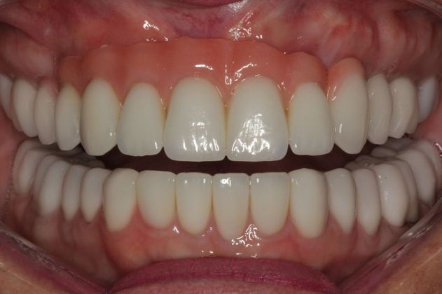
This patient disliked her poor fitting removable partial denture. We placed dental implants to replace missing teeth and restored the rest of the mouth with porcelain veneers and crowns. It was life changing!








